
이가 시린 이유: 원인과 증상
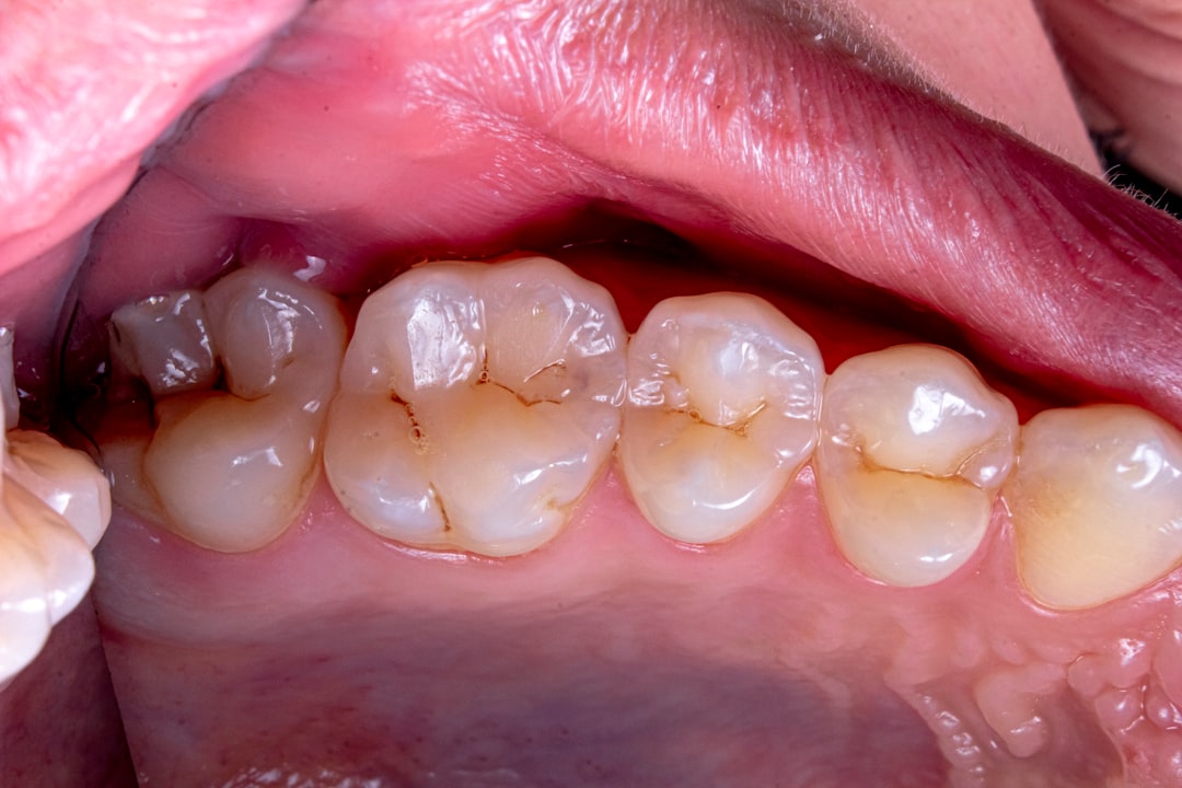
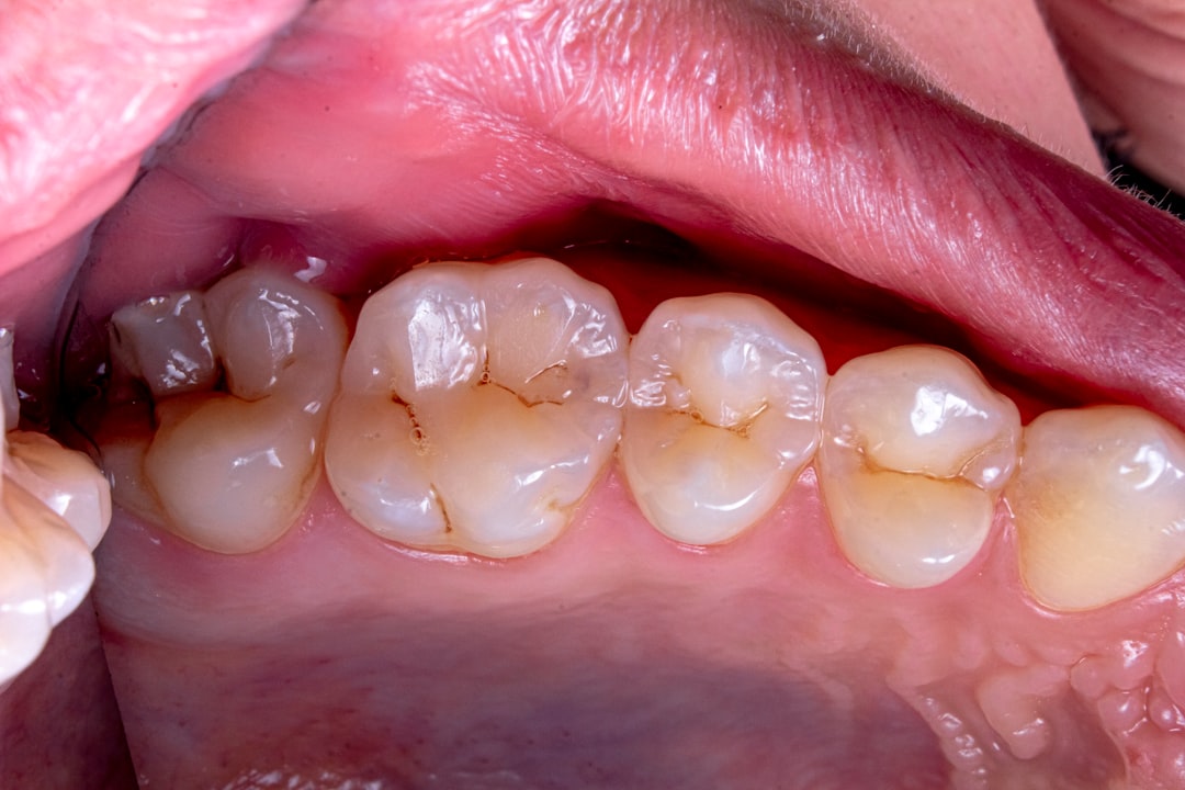
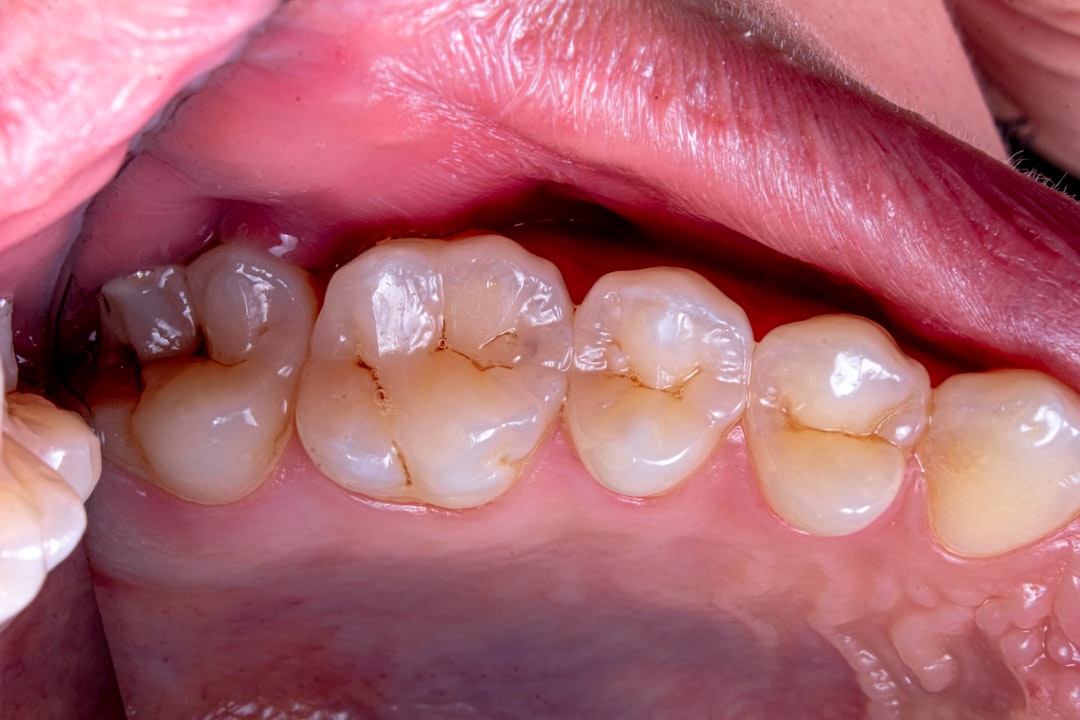
이가 시린 이유는 여러 가지가 있습니다. 주로 치아의 민감성에 의해 발생하는 것으로, 이는 치아의 에나멜이 마모되거나 잇몸이 퇴축해 생기는 현상입니다. 에나멜이 얇아지면 통증을 유발할 수 있는 내부의 신경이 외부 자극에 더 쉽게 반응하게 됩니다. 예를 들어, 찬물먹을때 이가 시린이유는 바로 이와 관련이 깊습니다. 차가운 온도가 신경에 강한 자극을 주기 때문에 여러분은 이가 시린 것을 경험하는 것입니다.

또한, 치아에 금이 가거나 충치가 발생할 경우, 이가 갑자기 시린이유가 될 수 있습니다. 이처럼 치아에 발생하는 문제는 여러 방면에서 우리의 삶에 불편함을 초래합니다. 특히 당장 일상생활에서 맛있는 음식을 즐기기도 어려운 게 큰 고통으로 다가오죠. 이가 시린 이유를 바로 아는 것이 중요하며, 이를 통해 해결책도 모색할 수 있습니다. 사람들은 종종 치아의 건강상태를 소홀히 여기지만, 이는 결코 간과할 문제가 아닙니다.
이가 시린 증상 및 다양한 상황
이가 시린 체험은 사람마다 다르지만 공통적으로 비슷한 징후를 보입니다. 특히, 과일먹고 양치할때 이가 시린이유, 그 자체가 첫 번째로 떠오르죠. 사과 같은 신 과일을 먹으면 단맛과 함께 오는 산미 때문에 치아가 과도한 자극을 받기 때문입니다. 또 다른 패턴으로는 식사 중이나 식사 후에 특정 음식이나 음료를 접할 때 전혀 예상치 못한 통증으로 이어지는 경우들이 많은데요, 어떻게 보면 이는 우리 몸이 경고하는 신호로 볼 수 있습니다.






레진 후 이가 시린이유도 주의해야 할 부분 중 하나입니다. 치과에서 레진 치료를 받은 후, 환자들이 종종 ‘왜 이렇게 아플까?’라고 고민하곤 하는데, 이는 불가피한 촉각 자극 때문입니다. 레진 재료가 치아와 완벽하게 결합되지 않았던 경우 일어날 수 있습니다. 이러한 변별능력을 이해하고 예측하는 것은 통증 완화에 큰 도움이 됩니다.
이가 시린 이외의 주요 원인
이 외에도 개인의 생활습관이 이가 시린 이유에 큰 영향을 미칠 수 있습니다. 끊임없는 치아 브러싱과 잘못된 치약 사용, 과도한 설탕 섭취 등이 여기에 해당됩니다. 특정한 음식을 자주 섭취하게 되면 이가 민감해져서 자주 통증을 느끼는 상황이 발생할 수 있습니다. 이런 변화들은 조절 가능한 요소들로, 일부는 단순히 치아 관리법을 개선함으로써 쉽게 해결할 수 있습니다.
특히, 이가 찬물 시린 이유는 차가운 온도와 결합된 상태에서 치아가 반응하기 때문입니다. 통증을 느끼는 원인 중 하나는 실제로 신경이 과도하게 자극을 받아 발생하는 것입니다. 그렇다면 이러한 문제를 해결하기 위한 방법은 무엇인지 궁금하실 텐데요, 재빨리 이를 알아보는 것이 중요합니다.
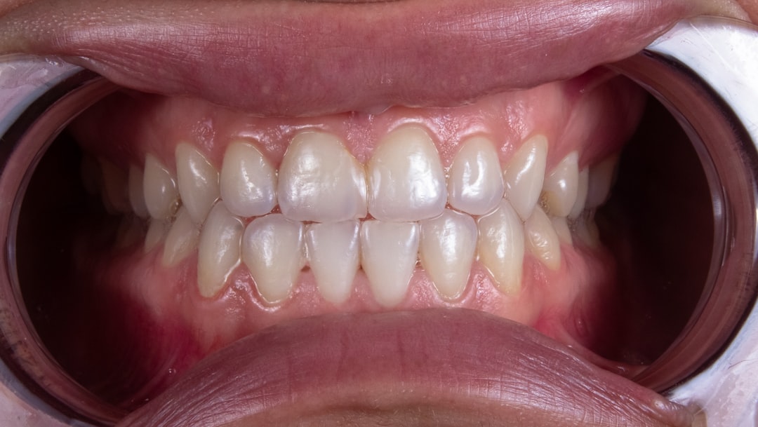
이가 시린 경우 예방 및 대처법
이가 시린 이유를 알고 나면, 그에 대한 대처법을 마련하는 것이 중요합니다. 먼저, 치아를 건강하게 유지하기 위해서는 규칙적인 치아 관리가 필수적입니다. 치실 사용과 정기적인 치과 검진을 통해 충치 예방에 집중해야 합니다. 그리고 인내심을 가지고 치료방법을 고민하고 적극적으로 실행해 보세요. 일상적인 관리로도 이가 시린 문제를 효과적으로 완화할 수 있습니다.
예를 들어, 자극이 강한 음식은 피하는 것이 좋습니다. 주의할 음식들은 선수처럼 잘 피하고, 치아 건강을 위한 잇솔질과 양치질이 제대로 이루어졌는지 확인할 필요가 있습니다. 물론, 모든 예방과 관리가 쉽지는 않을 수 있지만 작은 노력들이 쌓여 큰 효과를 가져올 수 있습니다. 꾸준한 관리가 여러분의 치아 건강을 지켜줄 것입니다.
치아 건강을 지키기 위한 비결
마지막으로, 이제부터는 이가 시린 이유들에 대한 해결책을 정리해 보겠습니다. 입안의 세균 관리가 좋은 건강을 유지하는 비결이며, 식사 후 충분한 물로 입헹굼을 해주는 것이 효과적입니다. 또, 매일 규칙적으로 사용하는 치약은 구강세정제에 포함된 성분이 치아와 잇몸의 건강을 가꾸는 데 상당히 큰 역할을 할 수 있습니다.
| 이가 시린 원인 | 예방 방법 |
|---|---|
| 에나멜 마모 | 부드러운 칫솔 사용, 치아 관리 실천 |
| 충치 및 금에서 발생된 통증 | 정기적인 치과 검진 |
| 민감한 음식 섭취 후 통증 | 피해야 할 자극적인 음식 인식 |
결론
치아의 건강은 단순한 신체적 요소만이 아니라 전체적인 웰빙의 중요한 요소로 작용합니다. 이가 시린 이유를 알고, 그에 대한 대처법을 실천하며, 평상시 자주 치아를 바라보고 관리한다면 건강한 자신의 미소를 되찾을 수 있습니다. 여러분의 치아 건강을 지키기 위해 꾸준한 노력을 해보세요!
추천 글
가족과 함께 떠나는 해외여행지 추천 여름휴가 BEST5
여름이 다가오면서 가족과 함께하는 해외여행에 대한 기대감이 커지고 있습니다. 누구나 각자의 소중한 추억을 쌓고자 다른 나라를 찾게 되는 주말이나 긴 휴가 시즌이죠. 이번 글에서는 가족
geowin400.jhcin.kr
fwb 결말 – 그들의 친구는 사랑으로 이어질까?
fwb 결말의 시작: 진정한 감정의 싹트기‘fwb 결말’이라는 용어는 많은 이들에게 뜨거운 화제가 되고 있습니다. 사실, 친구 이상의 관계를 맺은 두 사람이 진정한 사랑으로 발전할 수 있을까? 많
geowin400.jhcin.kr
fwb 연애, 어떤 마음가짐이 필요할까?
FWB 연애의 정의와 그 배경FWB 연애는 ‘Friends with Benefits’의 약자로, 친구 관계에서 시작되어 성적 관계를 갖는 형태의 연애입니다. 이 관계는 보통 감정적 결속 없이, 서로의 신체적 욕구를 충족
geowin400.jhcin.kr
FAQ
Q1: 이가 시린 이유는 무엇인가요?
A1: 이가 시린 이유는 에나멜이 마모되거나 잇몸이 퇴축하며 신경이 자극을 받을 수 있기 때문입니다.
Q2: 찬물 먹을 때 이가 시린 이유는?
A2: 차가운 물이 치아의 신경에 자극을 주기 때문에 이가 시린 현상이 발생합니다.

Q3: 예방 방법으로는 어떤 것이 있나요?
A3: 부드러운 칫솔 사용, 정기적인 치과 검진, 자극적인 음식 피하기 등이 있습니다.