
자궁경부염증은 여성 건강에 중요한 문제로, 원인과 증상을 이해하고 적절한 치료 방법을 아는 것이 필수적입니다. 이 글에서는 자궁경부염증의 주된 원인, 증상, 치료법에 대해 상세히 설명하겠습니다.
자궁경부염증 원인
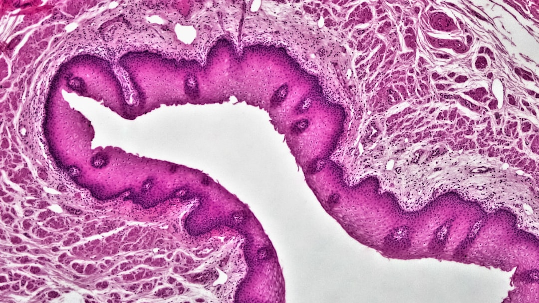
자궁경부염증은 다양한 요인에 의해 발생할 수 있습니다. 가장 흔한 원인은 바이러스 감염과 세균 감염입니다. 특히, 인유두종 바이러스(HPV)는 자궁경부염증의 주범으로 알려져 있으며, 성적 접촉을 통해 쉽게 전파됩니다. 이 외에도 클라미디아, 임질, 트리코모나스 같은 세균들도 자궁경부에 염증을 일으킬 수 있습니다. 바이러스와 세균의 감염 후에는 염증 반응이 시작되어 여러 가지 증상이 나타납니다. 자궁경부염증의 발병 원인을 잘 이해하는 것이 중요합니다.

이외에도 흡연, 면역력 저하, 호르몬 변화 등은 자궁경부염증의 발생에 기여할 수 있는 요소입니다. 흡연은 면역 체계를 약화시켜 감염에 더 취약하게 만들고, 호르몬 변화는 자궁경부의 상태에 영향을 미칠 수 있습니다. 이러한 다양한 요인들이 상호 작용하며 자궁경부염증을 유발하게 되는 것이죠. 따라서 이런 원인들을 알고 예방하는 것이 중요합니다.
감염이 발생하게 되면, 자궁경부의 염증 반응세포가 과도하게 활성화되어 더욱 큰 염증으로 이어질 수 있습니다. 이 때, 초기에 치료하지 않으면 만성 염증으로 발전할 가능성도 있는데, 이는 자궁경부암의 원인이 될 수 있어 더욱 주의가 필요합니다. 그러니 정기적인 검진과 건강한 생활습관이 무엇보다 중요합니다.
자궁경부염증의 원인을 다루고 나면, 이제 이러한 원인들로 인해 발생하는 증상에 대해서 알아봐야겠죠. 증상은 개인마다 다를 수 있지만, 주로 어떤 것들이 나타날지에 대해 살펴보겠습니다. 다음 섹션에서 자세한 내용을 확인해보세요!
자궁경부염증 증상
자궁경부염증의 증상은 다양하고 때로는 미비할 수 있습니다. 일반적으로 나타나는 증상으로는 외음부 통증, 불규칙한 출혈, 성교통 등이 있습니다. 이러한 증상은 여성에게 상당한 불편을 초래할 수 있으며, 일상생활에 지장을 줄 수 있습니다. 외음부 주변의 통증은 특히 신체적으로나 심리적으로도 큰 스트레스를 주곤 하죠.
더욱이, 자궁경부염증이 심각해지면 출혈이 있을 때나 성관계 후에 통증이 발생하기도 합니다. 이는 심리적으로 큰 압박을 주며, 불안감이나 우울증으로 이어질 수 있습니다. 정기적으로 건강을 체크하고, 이상 신호가 느껴질 때 즉시 의사와 상담하는 것이 중요합니다.
자궁경부염증 상태가 심각한 경우, 감염이 다른 기관으로 퍼질 수 있으며 이로 인해 추가적인 증상이 나타날 수 있습니다. 예를 들어, 하복부 통증, 발열과 같은 전신적인 증상이 동반될 수 있어 주의가 필요합니다. 이러한 증상은 자궁경부염증이 진행되고 있다는 신호일 수 있습니다.
이제 자궁경부염증의 치료법에 대해 알아볼 차례입니다. 어떤 방법으로 이 문제를 해결할 수 있을지, 궁금하지 않나요? 다음 섹션에서 자세히 살펴보도록 하겠습니다!
자궁경부염증 치료법
자궁경부염증은 적절한 치료를 통해 관리할 수 있습니다. 첫 번째 단계는 원인에 따라 적절한 약물 치료를 받는 것입니다. 항생제나 항바이러스제가 처방되며, 이는 감염된 원인균을 제거하기 위해 필요합니다. 하지만 치료 기간은 개인의 상태에 따라 다를 수 있으므로, 꾸준히 병원을 방문하여 검사를 받는 것이 꼭 필요합니다.



또한, 자궁경부염증 상태가 심각한 경우에는 치료기간이 길어질 수 있으며, 지속적인 관리가 필요합니다. 일부 환자들은 자궁경부의 감염 상태가 악화될 경우, 수술적 치료를 받아야 할 수도 있습니다. 통증이 심하거나 불규칙한 출혈이 지속될 경우, 의사와의 상담 후 적절한 치료 방법을 결정해야 합니다.



사실, 예방이 가장 중요합니다. 정기적인 자궁경부 세포검사 염증과 건강 검진을 통해 조기에 발견하고 치료하면 향후 더 심각한 문제를 예방할 수 있습니다. 특히, 자궁경부암 검사에서는 염증소견이 발견될 경우 조기 치료가 가능하니, 정기적인 검진이 필수입니다.
자궁경부염증은 치료를 통해 많은 경우 회복이 가능합니다. 그러나, 언제나 주의가 필요하며, 바로 문제를 해결하기 위해 먼저 의사와 상담해보세요! 이제 마무리 글을 통해 주요 사항들을 다시 정리해볼게요.
이런 글도 읽어보세요
체지방률 낮추는 법 2025년 필독 가이드
체지방률 낮추기는 건강한 라이프스타일의 시작입니다. 체지방률을 효과적으로 관리하고 줄일 수 있는 방법을 소개합니다.체지방률 정상범위와 이해체지방률은 우리 몸에서 지방이 차지하는
geowin400.jhcin.kr
기침멈추는법 및 효과 있는 관리법 공유
기침이 나면 불편하죠. 이를 멈추는 방법과 일상에서 실천할 수 있는 관리법을 알려드립니다. 기침을 보다 효과적으로 다루는 여러 방법을 소개해 드릴게요.기침 멈추는 법의 필요성기침은 우
geowin400.jhcin.kr
손마사지로 피로한 손목과 손가락 시원하게 풀어주는 방법
손마사지는 손목과 손가락의 피로를 풀어주는 효과적인 방법입니다. 올리브영 손마사지기나 코지마 손마사지기 등을 통해 간편하게 손마사지를 즐길 수 있습니다.손마사지의 기본 이해손마사
geowin400.jhcin.kr
결론 및 FAQ
자궁경부염증은 다양한 원인으로 발생하며, 심각한 증상을 유발할 수 있는 중요한 건강 문제입니다. 정기적인 검진과 약물 관리가 중요하며, 초기 증상이 발견되면 즉시 전문가의 도움을 받는 것이 필요합니다. 아래는 자주 묻는 질문과 그에 대한 답변입니다.
| 질문 | 답변 |
|---|---|
| 자궁경부염증을 예방하는 방법은? | 정기적인 검진과 안전한 성생활이 예방에 중요합니다. |
| 치료기간은 얼마나 걸리나요? | 개인의 상태에 따라 다르지만 보통 몇 주 정도 소요됩니다. |
| 증상이 있을 때 어떤 조치를 취해야 하나요? | 즉시 전문의와 상담하여 적절한 진단과 치료를 받아야 합니다. |