
폐렴은 우리의 호흡기에 영향을 미치는 질병으로, 다양한 증상이 나타날 수 있습니다. 초기 신호와 대처법을 알아보아, 건강을 지키는 데 도움이 되길 바랍니다.
폐렴 증상 이해하기
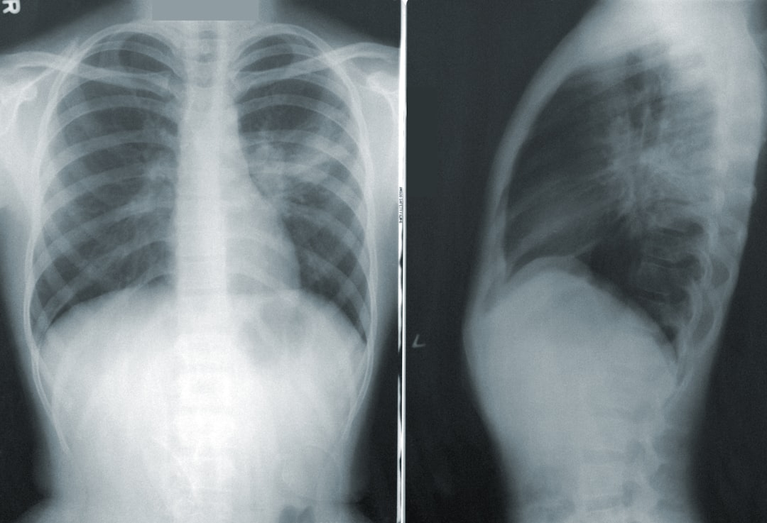
폐렴증상은 초기에는 가벼운 기침이나 기침에서 시작될 수 있습니다. 그러나 이 기침이 계속되거나 심해지면, 곧 다른 증상들이 이어질 수 있습니다. 폐렴 증상 중에는 고열, 몸살, 그리고 숨가쁨이 포함되어 있습니다. 또한, 이 질병은 노인들에게는 특히 위험한데, 그 이유는 면역력이 약해 손쉽게 감염될 수 있기 때문입니다. 따라서 가족이나 친구의 상태를 잘 관찰해야 합니다. 이러한 폐렴증상들은 단순한 감기랑 비슷하게 시작되기 때문에 주의 깊은 관리가 필요합니다.

예를 들어, 폐렴 증상 가슴 통증은 종종 기침할 때 더 심해지는 경향이 있습니다. 이는 활발한 기침 운동에 의해 가슴 근육과 이어지는 통증으로 인한 것입니다. 또한, 기침이 심해질 즈음에는 가래가 생기기도 합니다. 이 가래의 색깔은 폐렴을 진단하는 데 중요한 단서가 되기도 합니다. 관리하는 과정에서는 가래의 색이 어떤지 자주 체크해야 합니다.
세균성 폐렴 증상은 특히 위험합니다. 빨리 치료하지 않으면 면역력이 약한 분들에게는 심각한 문제가 될 수 있습니다. 노인성 폐렴 증상은 저체온증이나 진저리 같은 형태로 나타날 수 있습니다. 이런 상황에서는 의료진의 즉각적인 도움이 필수적입니다. 초기의 작은 증상들이 나중에 큰 문제로 이어질 수 있기 때문입니다.



물론 독감 폐렴 증상도 흔히 나타날 수 있는 경우인데, 이 역시 마찬가지로 초기 신호에 주목해야 합니다. 몸이 떨려 오르거나 불안정한 기분이 들 때는 빠른 판단이 중요합니다. 의사의 진단을 받기 전까지는 최선을 다해 증상을 관리해야 합니다. 감기 증세가 이어질 뿐만 아니라 상태가 더욱 나빠진다면, 꼭 전문가를 찾아야 한답니다.
폐렴증상 대처법
폐렴증상은 증상에 따라 다양한 대처법이 필요합니다. 초기에는 충분한 휴식과 수분 섭취가 필수입니다. 체내 수분이 적으면 기침이 더욱 심해질 수 있습니다. 폐렴 증상알아보기를 통해 초기에 발견한 후, 병원에서의 진료가 필요하죠. 특히 폐렴이 진행되면 상태가 악화될 수 있으므로 주의가 필요합니다.



특히 흡인성 폐렴 증상은 내부에서 외부로의 세균이 이동하게 되므로 매우 조심해야 합니다. 다량의 가래가 발생 한다면, 약물 치료가 필요할 수 있습니다. 긴급한 경우 호흡기 치료를 진행하는 Hospitals도 있으니 알아보는 것이 좋습니다. 상기한 폐렴증상 외에도, 호흡이 힘들어지거나 통증이 심해지면 즉시 의료기관을 찾아야 합니다.
건강한 식습관과 평소의 운동도 예방을 위한 좋은 방법입니다. 폐렴은 전염성이 강한 질병이기 때문에, 바이러스가 유입되지 않도록 항상 주의해야 합니다. 가급적이면 사람 많은 곳은 피하고, 감기에 걸렸을 경우에는 집에서 휴식을 취하는 것이 좋습니다.
이 외에도 고양이 폐렴 증상이나 소아 폐렴 주요 증상 등 다양한 변형이 존재합니다. 고양이와의 접촉이 잦은 가정에서는 더욱 주의가 필요합니다. 자주 나가는 장소의 위생 상태를 점검하고, 소아에게도 폐렴의 초기 신호를 인지시켜야 더욱 좋을 것입니다.
정확한 체크리스트
| 증상 | 대처법 |
|---|---|
| 고열, 기침 | 의사 상담 후 치료 |
| 가래의 색 변화 | 항생제 처방 필요 |
| 가슴 통증 | 진통제 복용 |
| 숨가쁨 | 소독된 환경에서 안정 |
마지막으로, 코로나 폐렴 증상도 주목해야 합니다. 최근에는 코로나19로 인해 새로운 형태의 폐렴이 등장했으니 항상 최신 정보를 얻어야 합니다. 여러 가지 전염증세에 대비해 예방 접종도 고려해야 할 것입니다.
이런 글도 읽어보세요
파이코인 디스코드 커뮤니티 활용법과 성공 전략
파이코인 디스코드 커뮤니티를 통해 교류하고 네트워킹하는 법, 그리고 전략적인 접근으로 성공적인 참여를 이루는 방법을 알아보세요. 다양한 팁과 실전 사례가 가득합니다.파이코인 디스코
geowin400.jhcin.kr
파이코인 소각, 이젠 선택 아닌 필수?
파이코인 소각은 이제 단순한 선택이 아닌 필수로 여겨지고 있다. 다양한 이유로 파이코인을 소각해야 하는 시대가 다가오고 있다. 이번 글에서는 파이코인 소각이 왜 중요한지를 깊이 있게 살
geowin400.jhcin.kr
비타민영양제 선택 가이드 필수 조건
비타민영양제를 선택할 때 필수 조건을 이해하고, 필요에 맞는 종류와 제품을 선택하는 법에 대해 안내합니다. 비타민 영양제의 효과와 부작용, 추천 제품 등을 자세히 알아보세요.비타민 영양
geowin400.jhcin.kr
자주 묻는 질문
Q: 폐렴의 첫 증상은 무엇인가요?A: 가장 흔한 초기 증상은 기침과 열입니다. Q: 폐렴은 얼마나 심각한가요?
A: 심한 경우 호흡 곤란이나 가슴 통증을 유발할 수 있으므로, 즉각 조처가 필요합니다. Q: 어떤 예방 조치를 취해야 하나요?
A: 손씻기와 사람 많은 곳 피하기, 예방 백신 접종이 중요합니다.